
【梁育誠醫師】牙齒美學陶瓷貼片,不僅是醫療更是藝術的表現
很多人一聽到牙齒美學陶瓷貼片,第一個直覺就是:「是不是在牙齒表面貼一層漂亮的瓷片就好了?」
但實際在臨床上,它真的不是這麼簡單的事。貼片對我來說,不只是外觀修飾,而是一個結合醫療判斷與美感設計的過程。
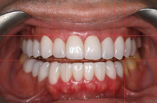
在開始做貼片之前,最重要的其實不是選顏色、也不是挑形狀,而是先把整個結構看清楚,就是在療程前會做的設計規劃之一。透過畫線、抓比例,去看牙齒、牙齦、嘴唇之間的關係,確認每一顆牙齒在笑起來的時候,位置是不是自然、是不是協調。完成後也會在透過畫線、比例讓病患了解差異及美學感,如下圖:

因為牙齒從來不是單獨存在的,它是長在齒槽骨上,也和牙齦、嘴唇一起構成整個笑容。每個人的骨頭高度不一樣、牙齦厚薄不同、牙齒露出的比例也不一樣,所以就算都是陶瓷貼片,設計方式一定不會完全相同。有些人適合線條俐落、比較乾淨的風格,有些人反而需要柔和一點、自然過渡的設計,這些都不能照著某一個「好看的範例」直接套用。
在規劃時,也會特別注意笑線的走向。理想的情況下,上排牙齒的切端線,會順著下唇的弧度自然延伸,看起來是流暢、有層次的,而不是一條死板的直線。這條線要高一點、低一點,弧度要大或小,其實都跟骨頭結構和原本牙齒的位置有關,這也是為什麼貼片一定要量身設計,而不是做成一樣的形狀就好。
除了好不好看,也一定要顧到實際使用。貼片不是只為了拍照漂亮,更重要的是吃東西的時候會不會卡、咬合會不會不舒服。如果只追求視覺上的整齊,卻忽略骨頭和咬合的關係,反而可能讓牙齒承受太大的力量,影響貼片的使用年限,這是最不樂見的結果。
所以從醫師的角度來看,陶瓷貼片的價值,不只是讓牙齒變白、變整齊,而是在尊重原本生理條件的前提下,把比例調整到剛剛好,讓整個笑容看起來自然、耐看,也用得久。
也正因為每個人的骨頭結構、牙齦高度和牙齒排列條件都不一樣,在真正開始貼片之前,通常一定會先幫病患拍完整的口內照片,再透過繪圖與比例分析,把現在的狀況清楚呈現出來。這個過程,不只是醫師自己在看,更重要的是讓病患也能看懂,知道「為什麼會這樣設計」。
在規劃的過程中,會一邊畫、一邊和病患討論,說明目前骨頭的高低、牙齒露出的比例,以及不同設計可能帶來的視覺差異和實際感受。因為貼片不是醫師單方面決定的治療,而是需要雙方溝通、取得共識的過程。當病患知道每一個設計背後的原因,才真的能放心把笑容交出來。
每個人的骨骼條件和牙齒結構都不同,適合的牙齒型態自然也不會一模一樣。只有在治療前把方向談清楚、建立良好的醫病共識,貼片完成後的結果,才會是醫師和病患雙方都滿意,也能長久欣賞、安心使用的笑容。
尊榮優植牙醫診所院長
問8 線上視訊諮詢
諮詢專業醫師的第二意見,確保您得到最適合的治療方案
您可能想知道
追蹤問8粉絲專頁


